Tratamentos Dentários
Lentes de Contato Dentais em Santos | São Vicente | Guarujá | Praia Grande | Odontologia Canaan
Lentes de Contato Dentais em Santos | São Vicente | Guarujá | Praia Grande | Odontologia Canaan
Lentes de Contato Dentais (Laminados Cerâmicos)
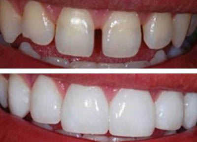
As lentes de contato dentais são laminados de porcelana, ultrafinos, que são colados na parte frontal dos dentes para melhorar a aparência.
São usadas para corrigir:
– Dentes escuros ou manchados – Dentes desalinhados – Espaços entre os dentes (diastemas) – Dentes fraturados ou desgastados – Dentes curtos ou pequenos.
Tem como vantagem um mínimo desgaste na estrutura dental. Outra vantagem das lentes de contato é que não mancham nem escurecem com o passar do tempo. É uma técnica simples, rápida e eficaz para deixar seu sorriso perfeito.

No lado esquerdo da foto são dentes naturais e no lado direito lentes de contato dentais





