Tratamentos Dentários
Cirurgia Plástica Gengival em Santos | São Vicente | Guarujá | Praia Grande | Odontologia Canaan
Cirurgia Plástica Gengival em Santos | São Vicente | Guarujá | Praia Grande | Odontologia Canaan
Cirurgia Plástica Gengival
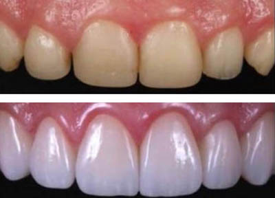
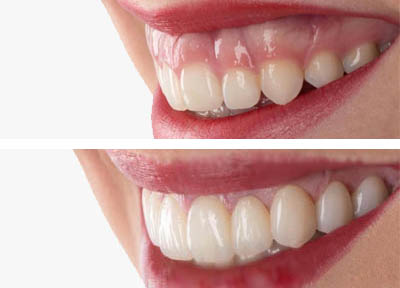
Gengivoplastia, gengivectomia ou plástica gengival são procedimentos que visam a remoção do excesso da gengiva sobre o esmalte dos dentes.
É a melhor opção para quem tem o problema de mostrar a gengiva exageradamente ao sorrir, o chamado “sorriso gengival”.
Esse problema estético pode afetar a qualidade de vida das pessoas que não conseguem sorrir com tranquilidade.
Após a remoção do excesso de gengiva, os dentes ficam mais longos e bonitos.
É um procedimento simples e a mudança é imediata após a cirurgia, resultando em uma diferença bastante acentuada no sorriso e na estética facial.
Em alguns casos, apenas a gengivoplastia/gengivectomia resolvem. Em outros, se faz necessária a osteoplastia (remoção ou remodelação óssea) seguido de laminados cerâmicos.

Dentes curtos, excesso de gengiva e sorriso gengiva






