Tratamentos Dentários
Cirurgia Bucomaxilofacial em Santos | São Vicente | Guarujá | Praia Grande | Odontologia Canaan
Cirurgia Bucomaxilofacial em Santos | São Vicente | Guarujá | Praia Grande | Odontologia Canaan
Cirurgia Bucomaxilofacial
A especialidade em cirurgia Bucomaxilofacial trata de cirurgias como remoção de dentes do siso inclusos, biópsias de lesões de boca, cistos nos ápices das raízes, bichectomia, entre outras cirurgias.
As lesões bucais são alterações na cavidade oral em forma de inchaços, feridas, manchas, tumores, entre outras manifestações inflamatórias. Uma lesão que não cicatriza naturalmente em até 15 dias pode ser um distúrbio mais sério. O diagnóstico precoce é fundamental para que o tratamento correto seja realizado de forma rápida, diminuindo as sequelas e aumentando a chance de cura. Uma das ferramentas diagnósticas utilizadas é a biópsia, um procedimento cirúrgico simples que possibilita a análise microscópica dos tecidos, para a correta identificação da lesão ou doença.
Fique atento aos sinais da boca sobre seu organismo. Procure um cirurgião bucomaxilofacial para fazer uma avaliação mais precisa.

Dente do siso incluso

Cisto Mucoso (Mucocele)

Cisto Radicular

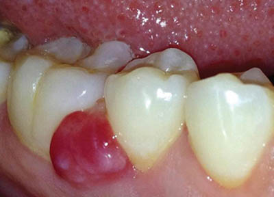
Nódulo Gengival
Bichectomia
Bichectomia ou lipoplastia facial é um procedimento cirúrgico intraoral onde o profissional remove um tecido gorduroso, as bolas de Bichat, situadas na região da bochecha do paciente. É um procedimento rápido, com anestesia local e se faz através de um pequeno corte no interior da boca, não deixando cicatriz externa.
A bichectomia pode ajudar quem quer deixar o rosto mais fino, menos redondo e delicado, deixando as maçãs do rosto mais proeminentes e definindo melhor a face. Esse procedimento apresenta também, além da finalidade estética, uma finalidade funcional, pois elimina gordura que gera lesões por morder a parte interna das bochechas.

Afinamento e Realce das maçãs do rosto

Anestesia local e incisão de 1 a 2 cm, por dentro da boca

Identificação da bola de Bichat



