Tratamentos Dentários
Enxerto Ósseo no Maxilar em Santos | São Vicente | Guarujá | Praia Grande | Odontologia Canaan
Enxerto Ósseo no Maxilar em Santos | São Vicente | Guarujá | Praia Grande | Odontologia Canaan
Implantes
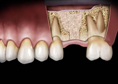
Enxerto Ósseo
Enxerto ósseo é o procedimento indicado para os casos em que o paciente não possui volume ósseo suficiente para receber um implante. Quando possível o enxerto ósseo é realizado na mesma cirurgia da colocação dos implantes.
Existe o enxerto autógeno (removido do próprio paciente), alógeno (originados por banco de ossos humanos) e o xenógeno (originados de laboratórios pela extração de osso geralmente de origem bovina ou suína). Os mais utilizados nos dias atuais são o autógeno e principalmente o xenógeno, devido ao grande avanço das empresas que produzem esses biomateriais.
A grande vantagem desses substitutos ósseos é evitar submeter o paciente a ter 2 pontos cirúrgicos, 1 para doar o osso e o outro para receber o osso. E eles tem resolvido de maneira excelente a maior parte das cirurgias de enxerto ósseo diminuindo a morbidade pós operatória do paciente.
Existem grandes marcas nacionais e internacionais, e trabalhamos sempre com uma que é a maior referência no assunto, mundialmente conceituada.

Levantamento de Seio Maxilar
A cirurgia de levantamento de seio maxilar tem como objetivo corrigir a deficiência em altura do tecido ósseo decorrente da atrofia do processo alveolar e da pneumatização do seio maxilar, permitindo a instalação de implantes com comprimento adequado.
Nessa cirurgia abrimos um acesso na parede lateral do seio maxilar, com bastante cautela protegendo a membrana do seio (membrana de Schneider), faz-se o deslocamento dela para cima e acomodamos o biomaterial na cavidade onde esperamos para regeneração óssea após alguns meses.
Dessa forma viabilizamos a reabilitação parcial posterior dos dentes perdidos ou em alguns casos a reabilitação total de pacientes sem dentição superior.

Espessura óssea insuficiente para o implante

Enxerto ósseo colocado no seio maxilar

Implante instalado após enxerto
L-PRF
O L-PRF (fibrina rica em plaquetas e leucócitos) é um biomaterial derivado do sangue do paciente, obtido em uma coleta sanguínea no momento da cirurgia e submetido à centrifugação dando origem a esse concentrado plaquetário. O objetivo é acelerar o processo de cicatrização e reparação tecidual.
As aplicações do L-PRF na odontologia são bem variadas, como na estabilização de biomateriais nos enxertos ósseos, preservação de alvéolos após exodontias, levantamentos de seio maxilar, entre outros.









